Dr. Héctor Guiral y Equipo

OTORRINOLARINGOLOGÍA

TRATAMIENTOS NATURALES Y ALTERNATIVOS

En el equipo del Dr. Guiral se atiende al paciente considerando la cualidad humana de la atención médica. El enfermo puede resolver su problema de salud con armonía y diligencia, sin prisas, sin imposiciones, con gran cariño y respeto. Usamos para ello las últimas tecnologías, largas horas de estudio, y, por supuesto, la calidez en el trato.

Pues en ningún lugar es más grande el amor que en el corazón de un médico

Además de la farmacología clásica, consideramos importante el empleo de los remedios naturales, la fitoterapia y homeopatía.

Los resultados obtenidos avalan nuestra convicción en las posibilidades de la complementación de los tratamientos convencionales de Cirugía, láser CO2, Quimio, Radioterapia, con las terapias alternativas (Acupuntura, Reiki, Apiterapia).

ENFERMEDADES TRATADAS
Pólipos nasales Tímpano perforado Trastornos del Equilibrio
Disfonía Apnea del sueño Faringitis
Tos crónica Vértigo Nariz bulbosa
Deformidad de nariz Pérdida auditiva relacionada con la edad Mareo o vértigo de origen cervical
ESPECIALISTAS EN
Trastornos del Sueño Cirugía ORL Cirugía Plástica Facial
OTROS SERVICIOS
Cirugía de cornetes Cirugía de la voz Cirugía endoscópica de pólipo nasales
Estapedectomía Microcirugía laríngea Miringoplastia con abordaje transmeteatal
Otoplastia Rinoplastia estética Uvulopalatofaringoplastia

REJUVENECIMIENTO FACIAL

En la consulta del doctor Guiral se realizan tratamientos naturales para el cuidado del rostro de forma sencilla, discreta y armónica, utilizándose vitaminoterapias, regeneración celular e inyecciones. Tratamientos anti envejecimiento que harán que tu rostro luzca bello y saludable.

TRATAMIENTOS ESTÉTICOS

RINOPLASTIA ESTÉTICA

Realizamos correcciones nasales armonizando la nariz y quitando aquello que no agrada o destacada demasiado, haciendo las narices naturales. Corrigiendo la función nasal para que el paciente pueda respirar bien y se sienta con una nariz bonita y segura. Todo lo realizamos por dentro de la nariz sin levantar nada ni hacer cortes externos, de esta forma los morados y el edema son mínimos y la recuperación más rápida.

OTOPLASTIA

Si tus orejas son grandes o despegadas, las arreglamos dejándolas del tamaño adecuado a tu cara y muy naturales No pareciendo artificiosas, ni demasiado pegadas como en otras técnicas de cirugía plástica que adoptan un parecido “marciano”. Quedando muy bonitas, desapercibidas y sin marcas ni hinchazón de las orejas. Realizamos la incisión y los puntos por detrás, sin que se pongan moradas las orejas.

Crioterapia amígdalas y nasal

Crioterapia de Amígdalas: Reducción y Tratamiento de Amigdalitis Crónica

Alternativa mínimamente invasiva a la cirugía tradicional

La crioablación de amígdalas utiliza frío extremo controlado para reducir el tamaño de las amígdalas y tratar afecciones crónicas como amigdalitis de repetición, inflamación leve y molestias obstructivas.

Beneficios
  • Procedimiento ambulatorio y sin hospitalización
  • Dolor postoperatorio leve
  • Recuperación rápida: 24–48 horas
  • Conserva la función inmunológica de las amígdalas
  • Reducción del riesgo de hemorragias
Indicaciones
  • Amigdalitis crónica leve o moderada
  • Pacientes que buscan tratamiento rápido y poco invasivo
  • Adultos jóvenes y pacientes con contraindicaciones anestésicas

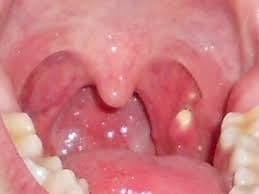
Crioterapia de Amígdalas para Halitosis y Criptas Amigdalares

Solución definitiva al mal aliento y piedras amigdalares ( Litiasis ) o Caseum

Las criptas amigdalares son pequeñas hendiduras donde se acumulan restos de alimentos y bacterias, formando cálculos amigdalares. Estos depósitos causan mal aliento persistente.
La crioterapia permite eliminar estas piedras y sellar las criptas, reduciendo significativamente la halitosis de origen amigdalar.

Beneficios
  • Sin cirugía ni incisiones
  • Recuperación rápida y ambulatoria
  • Disminución visible de piedras amigdalares
  • Mejora inmediata del mal aliento y confort oral
Indicaciones
  • Pacientes con halitosis persistente
  • Acumulación recurrente de caseum amigdalar
  • Amigdalitis crónica con molestias locales

Crioterapia de Cornete Nasal

Alivio rápido de la obstrucción nasal, congestión y rinitis

La crioterapia de cornete nasal es un procedimiento mínimamente invasivo, sin pinchazos, que utiliza tres pulsos de frío de 30 segundos por fosa nasal para tratar:

  • Abuso vasoconstrictores nasales
  • Hipertrofia de cornetes, Rinitis crónica: Reduce congestión y goteo nasal
  • Hemorrhagias nasales (epistaxis): Cauteriza vasos sanguíneos responsables del sangrado
  • Pólipos nasales: Disminuye crecimientos de tejido
  • Tejido anormal: Destruye células dañadas de forma controlada

Cómo funciona
  1. Aplicador especializado entrega frío intenso sobre el cornete
  2. Congela tejido hiperactivo o vasos anómalos
  3. Provoca necrosis localizada y regeneración de tejido sano
  4. Sesión rápida, ambulatoria y con anestesia local
Beneficios
  • No requiere pinchazos ni cirugía
  • Procedimiento rápido y seguro
  • Mínima molestia y recuperación inmediata
  • Promueve regeneración del tejido nasal